ホワイトニングについて

歯の中に入っている色素沈着を薬剤を用いて取るものです。
ホワイトニング剤を塗布することで、歯の表面の黄ばみ色素を分解して歯を漂白していきます。
歯科医院で行うオフィスホワイトニングと、家で行うホームホワイトニング、オフィスとホームを両方行うデュアルホワイトニングなどの方法があります。
こんな方におすすめ
- 歯の色が気になる
- 昔より黄色くなった気がする
ホワイトニングコーディネーターの資格を持つ歯科衛生士が在籍
当院にはホワイトニングに関する知識や技術を持つ歯科衛生士「ホワイトニングコーディネーター」が
在籍しています。
「歯を白く美しくしたい」という患者さまのご要望に適切なアドバイスをさせていただきます。
お気軽にご相談ください。
ホワイトニングの種類

ホームホワイトニング
患者さま専用のマウスピースを製作し、患者さま自身がマウスピースの中にホワイトニングジェルを入れて、家で毎日一定時間装着して漂白する方法です。

オフィスホワイトニング
歯科医院にて漂白を行う方法です。歯の表面に高濃度の薬液を塗布し、光を照射して歯の着色成分を変化させることで黄ばみを改善する方法です。

デュアルホワイトニング
プロによるオフィスホワイトニング、ご自宅でのホームホワイトニングを併用することで、より高い効果を得られるホワイトニング方法です。
料金表

ホームホワイトニング
| 上下顎 | 22,000円(税込) |
|---|
初回:診断後型取り
2回目:トレーとキットをお渡し
| 追加ジェル | 1,650円(税込) |
|---|
オフィスホワイトニング
| 上下顎(初回) | 33,000円(税込) |
|---|---|
| 上下顎(2回目以降) | 27,500円(税込) |
2回以上の施術をおすすめしております。
デュアルホワイトニング
| 上下顎 | 49,500円(税込) |
|---|
初回:診断後型取り
2回目以降:オフィスホワイトニング、
トレーとキットお渡し
翌日からホームホワイトニングスタート
(約2週間)
オプション
| エアフローコース | +7,700円(税込) |
|---|
詳しくはスタッフまで
お気軽にお尋ねください。
キャンセルポリシー
前日キャンセルはキャンセル料50%、当日キャンセルはキャンセル料100%頂戴いたします。
よくあるご質問

Q. 一度の通院で思い通りの白い歯になれますか?
A.ケースバイケースです。
実際にお口の中を確認させていただいてから、ホワイトニング前にお話しさせていたします。
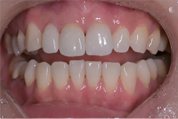
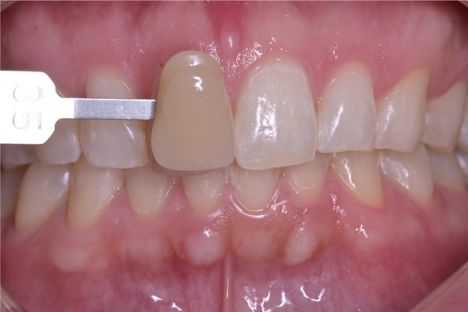
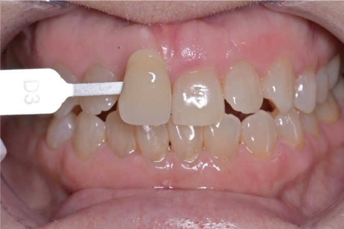
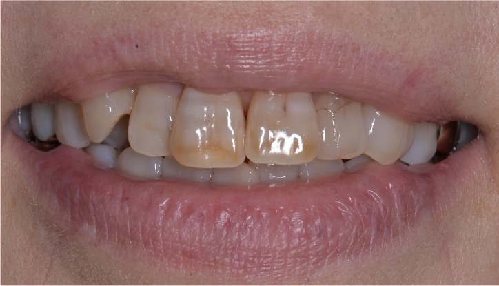
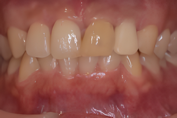
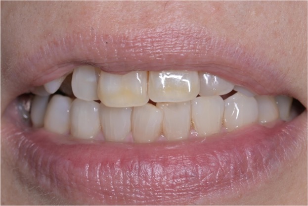
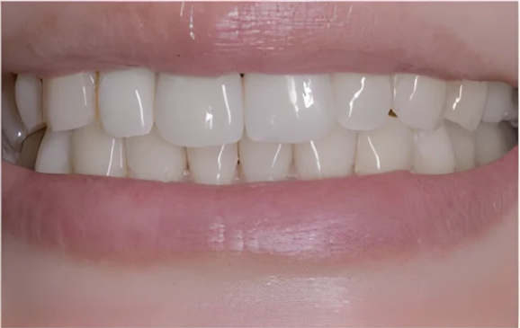
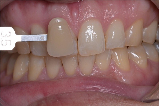
ホワイトニングの症例
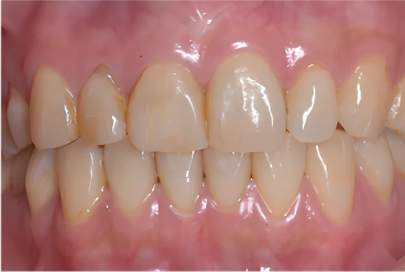
症例1:ホームホワイトニング
Before
After
| 治療内容 | ホームホワイトニング、補綴治療 |
|---|
症例2:ホームホワイトニング
Before
After
| 治療内容 | ホームホワイトニング、補綴治療 |
|---|
症例3:ホームホワイトニング
Before
After
| 治療内容 | ホームホワイトニング、補綴治療 |
|---|
症例4:ホームホワイトニング
Before
After
| 治療内容 | ホームホワイトニング |
|---|
症例5:デュアルホワイトニング
Before
After
| 治療内容 | デュアルホワイトニング |
|---|
症例6:ホームホワイトニング
Before
After
| 治療内容 | ホームホワイトニング |
|---|
